- Inicio
- Desarrollo e Investigación
- Desarrollo e Investigación
- AISLAMIENTO Y GENOTIPIFICACIÓN DE Adenovirus aviar GRUPO I ASOCIADO A HEPATITIS CON CUERPOS DE INCLUSIÓN DE POLLOS COMERCIALES EN PERÚ
AISLAMIENTO Y GENOTIPIFICACIÓN DE Adenovirus aviar GRUPO I ASOCIADO A HEPATITIS CON CUERPOS DE INCLUSIÓN DE POLLOS COMERCIALES EN PERÚ
INTRODUCCIÓN
Los adenovirus aviares (FAdV) tienen una distribución mundial y se han agrupado en 5 especies (A-E) con 12 serotipos: 1-8a a 8b-11. El hexón del adenovirus contiene determinantes antigénicos, la región del bucle hexón 1 (L1), representa la región más variable y, cuando se usa en la PCR junto con la secuenciación del ADN o el análisis de enzimas de restricción, fue exitoso para identificar y diferenciar algunos o todos los 12 serotipos de FAdV. Los FAdV causan hepatitis por cuerpos de inclusión, síndrome de hidropericardio, erosión de la molleja y necrosis pancreática. El grado variable de mortalidad se correlaciona con la patogenicidad del virus, los diferentes serotipos de la cepa infectante y la susceptibilidad de los pollos. La identificación de los serotipos involucrados es significativa para el rastreo epidemiológico y es de importancia crítica en la vacunación para el control de la enfermedad.
OBJETIVO
Evaluar las características clínicas y patológicas, aislar e identificar los serotipos circulantes de FAdV a partir de casos clínicos de Hepatitis por Cuerpos de Inclusión (HCI) en pollos de engorde de Perú.
MATERIALES Y MÉTODOS
Caso
El laboratorio de I+D recibió hígados congelados y pollos comerciales vivos sospechosos de HCI adquirida provenientes de diferentes departamentos de la costa peruana entre el 2015 y 2016. Los pollos afectados mostraron un crecimiento desigual, depresión y plumas erizadas.
Examen histopatológico
Las muestras de hígado se fijaron en formalina neutra al 10% durante 48 horas a temperatura ambiente. Los tejidos se procesaron de forma rutinaria, se incrustaron en cera parafina y se cortaron en secciones de 5 µm. Las secciones se tiñeron con hematoxilina y eosina (H&E), y se examinaron las lesiones asociadas con la infección por FAdV mediante microscopía óptica.
RESULTADOS
Durante la examinación post-mortem, se observó lesiones macroscópicas de HCI principalmente en el hígado, que presentó hepatomegalia (A, B, C) y coloración amarillo pálido (A, B) (Figura 1). Otras muestras se recibieron congeladas y no fue posible evaluar las lesiones. Las imágenes pertenecen a la muestra ID-HCI-032.
Figura 1. Lesiones macroscópicas en hígado

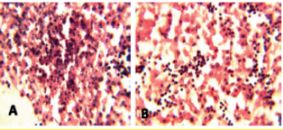
La evaluación histopatológica de las muestras mostró diversos grados de picnosis y cariorrexis (A), y cuerpos de inclusión intranucleares con marginación de la cromatina
(B) (Figura 2). También se presentaron múltiples hemorragias subcapsulares, grupos multifocales de hepatocitos y degeneración lipídica.
Figura 2. Histopatologia de hígados

Patogenicidad: Durante la primera semana post-inoculación, no se registró mortalidad en los pollos inoculados con FAdV-7;
PCR y genotipificación
Se detectó adenovirus en todas las muestras mediante PCR en tiempo real (4); la determinación de serotipos se realizó mediante secuenciación de la región L1 del gen hexón. El árbol filogenético se generó mediante el método Neighbor-Joining utilizando el software MEGA versión 7: Molecular Evolutionary Genetics Analysis versión
7.0 para conjuntos de datos más grandes.
Evaluación de patogenicidad en pollos SPF
Se utilizaron 100 pollos SPF de 10 días de edad para determinar el potencial patogénico de dos FAdV. Los pollos se dividieron aleatoriamente en cinco grupos de 20 aves cada uno. Se les inoculó por vía subcutánea con 104 EID de una de las 2 cepas de los serotipos 4 o 7, aisladas de las muestras.
mientras que los pollos inoculados con FAdV-4 presentaron una alta mortalidad (65%). Al 4º día post-inoculación, estos pollos evidenciaron depresión, hepatitis (A), proventrículo hemorrágico (B), y molleja dañada (Figura 3). Las imágenes pertenecen al serotipo 4, muestra ID-HCI-036.
Figura 3. Lesiones macroscópicas en hígado y proventrículo

Genotipificación: Las ramas del árbol filogenético muestran el porcentaje en el que se agrupan los taxones asociados (Figura 4). El árbol se ha dibujado a escala, en el que la longitud de los brazos se basa en el número de sustituciones por sitio. El análisis involucra 21 secuencias de referencia, cada una representada por su serotipo y especie
Figura 4. Árbol filogenético

CONCLUSIÓN
En conclusión, los serotipos 4 y 7 (bajo la clasificación ICTV) se encuentran circulando en casos clínicos de HCI en el Perú. El serotipo 4 presenta alta mortalidad, mientras que el serotipo 7 no presenta mortalidad.
ARTÍCULOS RELACIONADOS
-
08.21.2025
REPORTE DE CASO: AISLAMIENTO E IDENTIFICACIÓN DE LA CEPA Q1 DEL VIRUS DE LA BRONQUITIS INFECCIOSA DE POLLOS COMERCIALES EN PERÚ
INTRODUCCIÓN El virus de la bronquitis infecciosa (IBV) causa una enfermedad del tracto respiratorio superior altamente contagiosa en los pollos, además de graves pérdidas económicas en la industria avícola de todo el mundo. El agente etiológico es un coronavirus aviar. Entre las proteínas estructurales del IBV, la subunidad S1 de la glicoproteína espiga es responsable […]Leer más -
08.21.2025
OBTENCIÓN DE INÓCULO Adenovirus aviar SEROTIPO 8b EN CÉLULAS LMH
OBJETIVO. El objetivo del estudio es producir un inóculo viral inactivado de Adenovirus aviar serotipo 8b (FAdV-8b) usando células LMH como plataforma de cultivo. MATERIALES Y MÉTODOS Línea Celular y virus. Célula de hepatoma de pollo (LMH) cultivada a 37°C y 5% de CO2 en medio DMEM, con 10% de Suero Bovino Fetal (SBF). Virus […]Leer más -
08.21.2025
CARACTERIZACIÓN MOLECULAR DE LA FIBRA DEL Adenovirus aviar GRUPO I
OBJETIVO El objetivo del estudio fue caracterizar la presencia del gen de la fibra de los serotipos de FAdV-4, 8b y 11 mediante la optimización de la Reacción en Cadena de la Polimerasa Múltiple (PCRm). MATERIALES Y MÉTODOS Extracción de ADN. Se extrajo el ADN de 20 aislamientos de Hepatitis por Cuerpos de Inclusión, recolectados […]Leer más -
08.21.2025
PRUEBA DE POTENCIA DE UNA VACUNA INACTIVADA GELIFICADA CONTRA LA ENFERMEDAD DE NEWCASTLE: “INMUNOBROILER®”
OBJETIVO El objetivo del presente estudio fue evaluar, bajo condiciones experimentales, la protección e inocuidad de la vacuna inactivada gelificada Inmuno Broiler® de Quimtia S.A contra la Enfermedad de Newcastle (ENC) en pollos SPF. MATERIALES Y MÉTODOS Lugar y fecha de estudio El estudio se realizó en el Laboratorio de Patología Aviar de la Facultad […]Leer más -
08.21.2025
PROTECCIÓN CONFERIDA POR UNA BACTERINA OLEOSA TRIPLE FRENTE AL DESAFÍO DE Salmonella Typhimurium y S. Infantis
INTRODUCCIÓN Salmonella enterica subsp. enterica coloniza el tracto digestivo de humanos y de animales. Las salmonelas paratíficas causan enfermedades infectocontagiosas zoonóticas. En los últimos años se ha reportado un incremento de las infecciones alimentarias causadas por el consumo de alimentos con estas salmonelas. Para reducir la contaminación de los huevos para consumo y la de […]Leer más -
08.21.2025
EFICACIA DE UNA VACUNA TRIPLE INACTIVADA OLEOSA CONTRA Salmonella EN GALLINAS PONEDORAS INFECTADAS EXPERIMENTALMENTE CON Salmonella Enteritidis
ANTECEDENTES El género Salmonella incluye más de 2.400 serotipos, la salmonelosis es una enfermedad infectocontagiosa que puede desarrollarse en humanos y en animales. En los últimos años en algunos países se han incrementado los casos de infecciones alimentarias por el consumo de alimentos con Salmonella sp. Es necesario un plan de control para prevenir la […]Leer más